Dental Implants in Concord, NH
At White Park Dental, we’ve embraced improvements in dental technology that enhance the lives of our patients. We prefer to practice tried-and-true techniques that can transform patients’ lives.
Dental implants in Concord, NH are an innovative, long-term solution to replace missing teeth. Until recently, our options were limited to dental bridges and full and partial dentures. But by staying current with advancements in dentistry, Dr. Kristen Harvey can now offer his patients the benefits of tooth replacement with dental implants.
Schedule an Appointment to Learn More
There’s a lot to know about dental implants, including the long-term benefits and the procedure itself. Dr. Harvey would be happy to meet with you to explain how dental implants work and how they can improve your quality of life.
Please call us at (603) 225-4143 to schedule an appointment to get started.
- Replace Missing Teeth with Dental Implants
- How a Dental Implant Works
- The Dental Implant Advantage
- Secure Your Dentures with Dental Implants
- Tips for Extending the Lifespan of Your Implant
- Are Dental Implants Right for You?
Replace Missing Teeth with Dental Implants
Dental implants are a state-of-the-art technique that allows us to replace missing teeth with new teeth that look and feel so much like the real thing that most people (including you!) will never know the difference.
Dr. Kristen Harvey has been trained to place dental implants and restore them. She also works with the top oral surgeons in our area for advanced cases, to restore missing teeth utilizing titanium implants. As you heal, the implant post actually becomes a part of your jaw bone through a process we call osseointegration. Once healing is complete, we can restore the implant using dental crowns, a bridge, and even some types of dentures. The implant is stable and secure, and the restorations are lifelike and custom-made to blend in with the rest of your teeth.
If you have missing teeth and are looking for a tooth replacement that looks realistic and restores your ability to chew and smile confidently again, call the team at White Park Dental. We'll schedule an appointment for you with Dr. Harvey to explain the benefits of implant dentistry in Concord, NH.
How a Dental Implant Works
A dental implant is an innovative tooth replacement that was created to replace an entire tooth—from the root in your jaw to the crown you see when you smile. But you may not know that a dental implant is composed of three pieces: the implant post, the abutment, and the restoration. Let’s take a look at how each part works:
The Implant Post
The implant post is a tiny titanium screw that Dr. Harvey or an oral surgeon places in your jaw. Since titanium is a biocompatible material, surrounding bone and tissue fuses to the threads in the screw. This process is called osseointegration, and it takes several months to complete. Once the implant post has fully integrated, it functions in the same way the natural tooth root did.
The Implant Abutment
The abutment is not a well-known part of a dental implant, but it plays an essential role. Once the implant post heals, our dentist attaches a small connector piece that we call the abutment. This piece allows us to attach a dental restoration—crown, bridge, or denture—to the implant.
The Implant Restoration
The final step is to restore function and appearance to the implant by adding a dental restoration. If Dr. Harvey is replacing a single missing tooth, he would recommend a dental crown; for two or more missing teeth, he would suggest a dental bridge or full or partial denture. Don’t worry about which one’s right for you—Dr. Harvey will explain all the options available to you and answer your questions.
Would you like to speak to a dental implants dentist in Concord, NH to learn what's possible for your smile? Please call White Park Dental so we can schedule an appointment to get you started.
The Dental Implant Advantage
Dental implants look great and feel great, but they also have an added advantage that you can’t find in other tooth replacement technologies. Implants restore the mutual relationship that exists between the roots of your teeth and the bone in your jaw.
Your roots and jaw bone work together as a team. The bone holds the root in place, and the root stimulates the jaw bone to continually maintain its integrity.
When you lose a tooth, this process comes to a halt, causing the bone to resorb and atrophy. In time, the results of this process can lead to the weakening of the bone, changes in the shape of your face, and further tooth loss. Losing more teeth causes bone loss to spread and leads to the “sunken” look that is often present in people who are missing several teeth.
When a dental implant is placed, the relationship is restored, and the bone is once again stimulated to maintain itself.
Secure Your Dentures with Dental Implants
Do you wear removable dentures? Are they comfortable and stable, or do they move and shift unexpectedly? The constant movement causes soreness and irritation, and dentures that won’t stay put also make it a challenge to perform simple, everyday actions like chewing and speaking. This is especially true of lower dentures that don’t cover as much surface area as upper dentures with a plate do.
The solution is to use dental implants to stabilize your dentures and hold them securely in place. If you’re getting full dentures, the first step is to have the oral surgeon place several dental implants along your jaw. While your implants heal, you’ll work with Dr. Harvey, who will customize dentures that enhance your features and fill out the contours of your face.
We will design your dentures with customized attachments that snap onto the dental implants seated in your jaw. The result is a set of dentures that look, feel, and function as close to natural teeth as possible.
Tips for Extending the Lifespan of Your Implant
Your dental implant has the potential to last a lifetime. The dental restoration itself will never get a cavity, so you must focus on maintaining healthy gums. If you don’t keep the area around your dental implant clean, you can develop gum disease. As gum disease progresses, it can be quite destructive because it attacks the jaw bone that holds your implant in place.
Gum disease is the biggest threat to the longevity of your dental implant, so be diligent with your oral hygiene by brushing at least twice a day and flossing once. Cleaning around a dental implant is a little different than cleaning around a tooth, so ask your dental hygienist to show you how to do it correctly.
Be sure to visit your Concord, NH dentist twice a year or as recommended for dental exams and teeth cleanings. Dr. Harvey and our dental hygienist will look for signs of gum disease and also check the condition of your dental implant.
Can you imagine having a replacement tooth that will give you a lifetime of service? Today, it’s possible thanks to innovative dental implants in Concord, NH. Call White Park Dental today to schedule an appointment with Dr. Harvey to get started.
Are Dental Implants Right for You?
Choosing dental implants is an investment in your future dental health. Other options cost less, but they can’t prevent bone loss in the way implants can, and they are not secure and permanent in the way implants are.
We are happy to perform an examination and see if you are a suitable candidate for implants. The main reason why implants might not be the right choice for some people is that they have already lost a significant amount of bone. If there isn’t sufficient bone present, the implant cannot be placed securely.
If this is true for you, we can discuss surgical procedures, like bone grafting, that can restore your bone and make implants an option in the future. We can refer to you a trusted oral surgeon who can perform these procedures for you.
Frequently Asked Questions
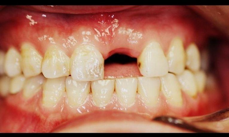
If you are missing one or more teeth, you'll understand how a gap in your smile can compromise many areas in your life, such as chewing, eating, speaking, and feeling confident about your appearance.
Additionally, a missing tooth can lead to further tooth loss because neighboring teeth tend to shift towards the gap and impact the alignment of your teeth.
For patients seeking a permanent tooth restoration, White Park Dental offers dental implants.
Dental implants are different than dental bridges and dentures. While they all seek to replace missing teeth, only dental implants go beyond the gumline to anchor with the jawbone. This process requires surgery and months of healing to restore your tooth fully. It's understandable for patients to be concerned with the amount of pain they might feel.
How Painful Are Dental Implants?
The actual surgery itself is not painful. Many our Concord patients have expressed surprise at how painless it is. Before we start, Dr. Kristen Harvey will administer a local anesthetic. Patients will not feel any discomfort as the entire area is numb.
Additionally, for patients who might have dental anxiety, we offer sedation dentistry to help them relax and feel comfortable. We may provide pain medication to help with any pain after the anesthetic wears off.
What Happens After Dental Implant Surgery?
You heal! There may be some tenderness after the surgery, but nothing pain relief medicine cannot manage. To help with the healing process, we recommend:
- Avoid straws for 24 hours after the surgery.
- Don't be startled by minor swelling for the next few days.
- Rinse with salt water three to four times for a few days.
- Enjoy a liquid diet for the first 48 hours.
- Avoid smoking—it hinders the healing process.
- Use over-the-counter pain relief.
Learn More About Dental Implants in Corncord
Call your Concord, NH dental office today to schedule your dental implant appointment.
With a success rate of about 95 percent, placing dental implants in Concord, NH is highly predictable, and it’s rare for them to fail. In someone who’s a good candidate for implants, a biological process called osseointegration occurs. The body produces bone cells that grow around the surface of the implant, anchoring it to your jawbone.
The stability of your implant and the crown it’s attached to depends on this process to be successful. However, certain risk factors can contribute to a loose or failing implant.
- Gum disease that attacks the bone that supports the implant
- Bruxism and teeth grinding that place excessive force on the implant tooth, causing “overloading” and damaging the implant
- Certain medications like antidepressants that affect bone metabolism and osseointegration
- Smoking slows the healing process and affects optimal integration with bone
- Cancer treatment with radiation therapy inhibits healing
Even with all these risk factors, dental implant placement is still a highly successful procedure. If your implant does fail, however, there’s no need to panic. In most cases, your implant dentist will be able to remove the implant using only a local anesthetic.
If you are considering a dental implant, our Concord, NH dentist will discuss all these risk factors and how we can ensure long-term success. If your implant feels loose, call White Park Dental so we can determine the best course of action to help you.
This depends if your tooth needs to be removed or is already missing and for how long. If the tooth is already missing and there is sufficient support for the implant, it is typically restored for chewing after three months. If the tooth requires removal and site preservation with bone grafting, this adds an additional three months for healing prior to placement of the implant. In some cases, additional augmentation or addition of bone needs to take place and timing is unique to each individual patient. Please schedule an evaluation for further individual information.
Yes, Dr. Harvey has been trained to surgically place implants in her residency program at the Audie L. Murphy VA Hospital in San Antonio, Texas, and has been placing them for over ten years. She utilizes 3D radiology (CBCT) to image and treatment plan ideal placement of the implant to maximize the cosmetics and function of the crown restoration for your missing tooth. In some cases, referral is advised based on your individual condition.
How Dental Restorations Work
If you're missing one or multiple teeth but don't want to go the direction of dental bridges or dentures, you might be seriously considering dental implants.
Dental implants are considered a more natural tooth restoration than bridges or dentures because they don't just rest on the gum line. They anchor to the jawbone and replace your entire tooth, down to the root.
During your dental appointment with Dr. Kristen Harvey, we will determine if you are in good health and candidacy for this surgical procedure. There must be enough healthy bone structure to place the dental implants, but if your jawline has already started to recede from the gaps on your smile, we have procedures to restore the necessary bone.
What Do Dental Restorations Look Like?
Dental implants mimic your existing teeth more than any other dental prosthetic. The dental implant is comprised of a thin titanium screw that anchors to the jaw bone like a root. Once the implant has healed and is secured, your implant dentist will attach an abutment to the screw. This abutment allows us to place a dental crown over the dental implant.
Dental implants look, feel, and function like natural teeth.
The Dental Restoration Procedure in Concord, NH
This surgical procedure is simple and pain-free. Concord, NH dental implant dentist, Dr. Kristen Harvey, will administer local anesthesia to the site so that the entire area is numb. Patients will not feel anything throughout the process.
Your Concord dentist will place the dental implant where it will take three to six months to heal. Once the healing is complete, Dr. Harvey will then place an abutment to the implant screw, followed by a natural-looking dental crown.
The Implant Procedure Is Easy
If you are interested in restoring a missing tooth, call White Park Dental today for more information.
Meet Our Doctor:
Kristen E. Harvey DDS, MAGD
Dr. Kristen E. Harvey graduated magna cum laude from the University of Maryland School of Dentistry in 2010. She was recognized for academic excellence and leadership by being inducted into Omicron Kappa Upsilon and was awarded the Maryland Academy of General Dentistry Award for High Proficiency in Clinical Care and Patient Management.
Prior to dental school, she earned her Bachelor of Science in Biology at The Pennsylvania State University. In the following year, she was a research fellow at the National Institute of Dental and Craniofacial Research in Bethesda, Maryland.
After dental ...
Featured Blog Posts - Implant Placement and Restoration
The Lifespan of Dental Implants: How Long Do They Last?
Dental implants are an excellent option if you are looking for tooth replacement but want a longer-term solution than dentures or bridges. So, how long can you reasonably expect them to last? With proper care, dental implants can serve you for a lifetime. The crown placed on the ...
What Are Dental Implants and What Are the Advantages?
Dental implants replace missing teeth down to the root and have numerous advantages. Did you know that millions of people in the United States have one or more missing teeth? If you have a missing tooth, know you're not alone and you have options!
Whether you have one missing tooth ...
How to Care for Your Dental Implant
We live in a world of modern technology that churns out new advances every day. In dentistry, one of those advances is in the area of tooth replacement. If you have gaps in your smile caused by missing teeth, you may suffer self-consciousness and hesitation to show your teeth, even ...
Implant Placement and Restoration Technology
Dental Implant Placement and Restoration
Dr. Harvey has been trained to place dental implants to replace missing teeth. A dental implant is a titanium root replacement which is placed using a radiographic surgical guide (see CBCT 3D x-ray machine above). Our dentist is able to treatment plan and customize your implant to build a perfectly positioned dental crown for esthetics and function, that mimics your original tooth, or even perfects it. Please schedule a new patient evaluation or consultation if you have teeth that need to be removed and replaced, or you are currently missing teeth and are seeking a dental solution that will improve your smile and ability to eat your favorite foods.
