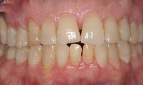
Tooth-Colored Fillings in Concord, NH
When it comes to your smile, both health and appearance matter. Most people will, at some point in their lives, have a cavity and require a filling. We don’t believe that your smile should be forever marred because of a cavity, especially not when a better option is available.
At White Park Dental, we are proud to offer tooth-colored fillings. The composite resin material blends in beautifully with your natural enamel; in fact, we specially blend the material to match the natural shade of your teeth.
Better yet, the advantages of tooth-colored fillings go beyond the aesthetics and fit in well with our overall philosophy of performing conservative dentistry.
What Are Tooth-Colored Fillings?
Tooth-colored fillings, or composite resin fillings, are a way of repairing the damage caused by dental caries, or cavities. They are made of a mixture of plastics and glass that can be custom shaded to match your own enamel.
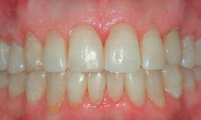
To place these fillings, we remove the decayed portion of your tooth and sterilize it. Then, we place the filling in layers, allowing each layer to cure and bond to your tooth before adding the next.
Once the cavity is filled in, we can make any necessary adjustments and then polish the filling smooth. When we’re done, even you probably won’t be able to tell where the cavity was!
Additional Advantages of Tooth-Colored Fillings
One of the main reasons that our patients love tooth-colored fillings is because of the way they can flawlessly restore your smile after a cavity, but as dentists, we love them for a few other reasons as well:
- Tooth-colored fillings allow us to remove a minimal amount of healthy tooth structure. Amalgam fillings, on the other hand, require us to remove more of the structure to properly anchor them in place.
- Metal amalgam fillings contain mercury. While the mercury in amalgam fillings does not pose a threat to you and has been shown in numerous studies to be safe, it does require extra care and precaution to be taken to avoid breathing in the fumes during placement and during disposal. With tooth-colored fillings, these precautions are not necessary.
- When amalgam fillings age, they can cause problems by breaking and leaking. Composites do not have this problem.
Why Do I Have a Cavity?
Cavities are often associated with eating excess sugar and poor dental hygiene, so it sometimes comes as a shock to patients when we tell them that they have a cavity. They brush as directed and limit sugar, so how could this have happened?
Dental caries is actually an infectious disease caused by bacteria. These bacteria can be passed from person to person. Cavities tend to run in families for this reason, as the bacteria are passed through kissing and sharing utensils. Brushing and flossing help to limit the bacteria by eliminating the places where they like to live, and limiting sugar intake also helps by depriving the bacteria of their favorite food. Sugar is also found in fresh fruits and vegetables, dairy products, and whole grains – healthy foods that you don’t want to limit in your diet.
We can help you prevent cavities in several ways. We can discuss products that contain fluoride to build up the enamel of your teeth and make it more resistant to cavities, and if you are at particularly high risk for cavities, we can discuss sealants.
Call to Schedule Your Next Cleaning at Our Concord, NH Office
Professional cleanings reduce your risk of developing cavities, and regular exams give us the opportunity to catch cavities in their earliest stages when simple treatment is still possible.
Call today and request an appointment with Concord dentist Dr. Harvey.

something they’ve read online or from a well-meaning friend.
our patients.