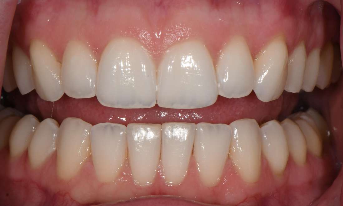
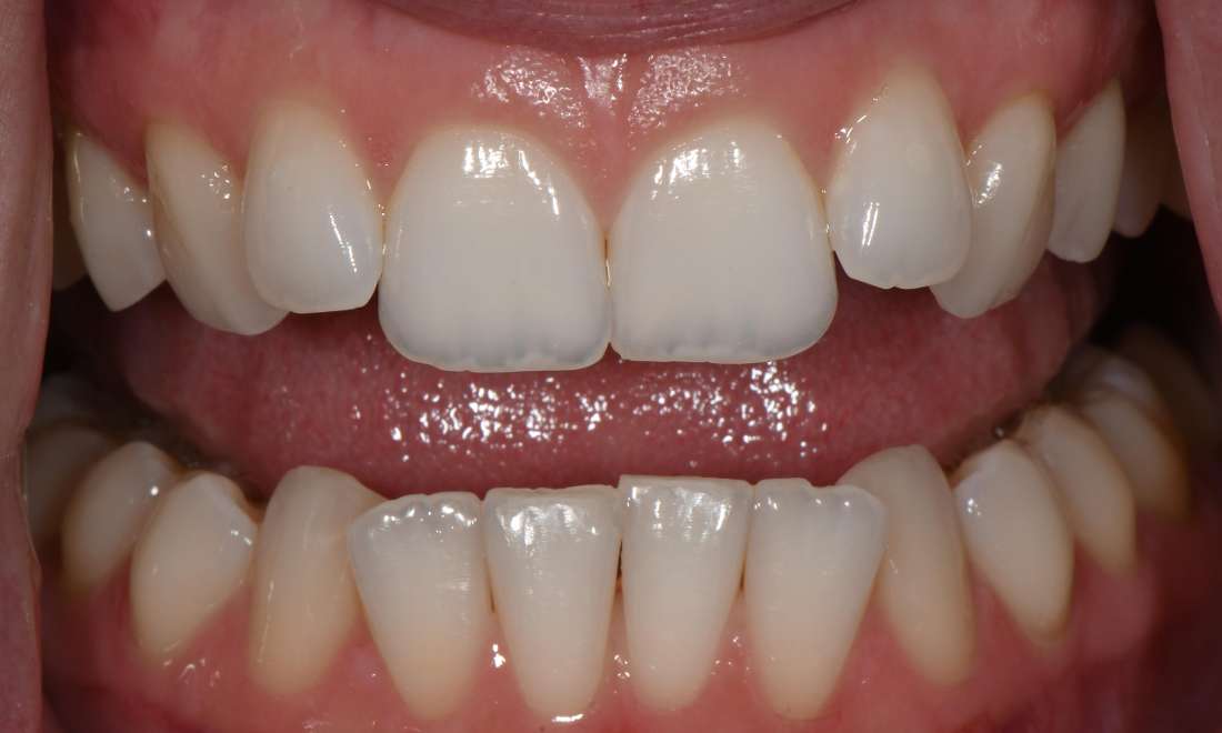
This patient had crowding and her upper lateral incisors were flared forward. Alignment has given her a balanced, esthetic smile!
Place mouse over picture to pause
If you have difficulty using our website, please email us
or call us at (603) 225-4143
Privacy Policy
View the ADA Accessibility Statement
